Catarata
El ojo humano tiene un lente llamado cristalino que es transparente, y su función es permitir que los rayos de luz que entran al ojo se enfoquen en un punto de la retina denominado mácula. Desde la retina, se envía la información al cerebro y este a su vez procesa la información recibida, haciendo que percibamos la imagen que vemos. El cristalino se encuentra por detrás de la pupila, que es el círculo central negro que podemos observar en todas las personas. Como el cristalino es transparente, no podemos verlo sin un microscopio llamado lámpara de hendidura.
Cuando el lente natural o cristalino comienza a opacificarse, se le denomina Catarata. Generalmente, la catarata aparece en personas mayores de 60 años, debido a que con los años, el cristalino comienza a endurecerse en su centro y a hacerse menos transparente, pero hay ciertas condiciones o enfermedades que pueden promover el desarrollo temprano de la catarata, como: la irradiación, la diabetes, el trauma y algunas medicinas como los corticoides. También puede ser congénita, es decir, que la persona nace con ella.
Catarata
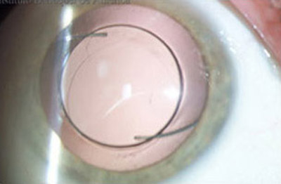
Lente Intraocular
La cirugía de catarata implica una incisión, la extracción del cristalino ya opacificado y en su lugar, la implantación de un lente artificial. La técnica quirúrgica más moderna y eficiente es conocida como Facoemulsificación.
La catarata debe ser removida cuando interfiere con las actividades diarias habituales tales como la lectura del periódico, la conducción de automóvil, o simplemente cuando la persona manifieste que ha disminuido su visión, o que ve con mala calidad.
Es la primera causa de mala visión en adultos. Se considera que en el mundo hay 25 millones de ciegos por catarata y 110 millones con visión deficiente. Cerca de los dos tercios de la población mundial, mayor de los 60 años sufren de catarata. Hoy se pueden extraer sin problema, usando los métodos modernos, que pueden mejorar la baja visión producida por la catarata en un 90% de los casos. No hay ningún tratamiento médico ni nutricional que permita recobrar nuevamente la transparencia del cristalino; es decir, no hay tratamiento con gotas, ni ingesta de dietas especiales o vitaminas que sea efectivo. El único método es el quirúrgico.
Examen Preoperatorio
Antes de la cirugía debe realizarse un examen completo del globo ocular, que incluye exámenes especiales para determinar el poder del lente artificial que se requiere; el examen de la retina, que es una estructura que se encuentra en la parte posterior del ojo y que como se explicó anteriormente es la responsable de trasmitir la información al cerebro, debe estar sana; si no se encuentra bien, el ojo no podrá tener buena visión a pesar de que la cirugía de catarata haya sido exitosa. También se requieren exámenes generales para llevar al paciente en las mejores condiciones posibles a la cirugía; por ejemplo: un paciente con diabetes tiene que tener controlado su nivel de glicemia o azúcar en la sangre para poder ser operado.
La mayoría de las cirugías de catarata se hacen con anestesia local o tópica, esta última sólo con gotas. El tipo de anestesia es elegida por el cirujano tratante y el anestesiólogo, con aprobación del paciente.
Los resultados de la cirugía de catarata son excelentes; la recuperación de la visión es rápida y el postoperatorio indoloro. La persona deberá aplicarse colirios antiinflamatorios y antibióticos, deberá utilizar protectores oculares nocturnos para evitar trauma involuntario y no debe frotarse el ojo en ningún momento. Es de esperar que si queda con un defecto refractivo residual, deba utilizar anteojos. Para la lectura deberán formularse anteojos aun cuando se hayan colocado lentes intraoculares multifocales; estos lentes son implantados en personas con unas indicaciones especiales que son evaluadas por el médico cirujano.
Complicaciones
Como en todo procedimiento, pueden presentarse imprevistos o complicaciones durante o después de la cirugía. Los médicos que la practican son oftalmólogos entrenados que siempre buscan el bienestar de sus pacientes, sin embargo, pueden ocurrir situaciones tales como que no se pueda colocar el lente porque el soporte o cápsula de la catarata se rompa; afortunadamente esta complicación no es frecuente. También puede ocurrir que haya pérdida del humor vítreo o sustancia gelatinosa que se encuentra en la parte posterior del ojo, pudiendo producirse inflamación en la retina afectando la recuperación de la visión. Las complicaciones como hemorragia o infección intraocular son muy serias y comprometen el futuro visual del ojo, pero con las técnicas actuales su incidencia es muy baja. Otras complicaciones como inflamación o edema de la córnea, pueden ser transitorias y mejorar con tratamiento médico. A veces algunas complicaciones deben solucionarse con una o varias cirugías adicionales.
