Revisión de un tema
El Iris
Dr. Carmen Barraquer Coll
Descargue el articulo en formato pdf aqui
En los humanos y en la mayoría de los mamíferos y pájaros, el Iris es una estructura anular en el ojo, responsable de controlar el diámetro y tamaño de la Pupila y controlar así la cantidad de luz que penetra al Ojo. En términos de la Optica, el Iris es el diafragma y la pupila su apertura. El color del ojo se define según el color del Iris.
Separa la cámara Anterior de la cámara Posterior en el Ojo, y esta situado por delante del Cristalino; se compone de 3 capas: la hoja Anterior del Iris (membrana pupilar) cuya atrofia parcial genera las criptas de Fuch´s, el Estroma, capa fibrovascular y pigmentada, no tiene epitelio y su origen es mesodérmico; la Posterior debajo del estroma, es una capa de células epiteliales pigmentadas con un grosor de 2 células, conocida como el Epitelio pigmentario del Iris cuyo origen viene del neuroectodermo.
El Iris consta de fibras musculares lisas, circulares y radiales dispuestas en una estructura en forma de rosca en el estroma. El músculo Sphinter Pupillae es circumferencial y contrae la pupila con un movimiento circular, esta inervado por el 3er para craneal ( nervio Motor Ocular Común) en el que las fibras parasimpáticas partiendo del núcleo de Edinger -Westphal situado en el tronco cerebral, llegan a la pupila través de los nervios ciliares cortos; es antagonista al músculo circular-radial dilatador, Dilator pupillae, el cual hala el iris radialmente para abrir la pupila formando pliegues circulares en el estroma ciliar; es inervado por neuronas postganglionares simpáticas localizadas en el ganglio cervical superior; sus axones pasan a la rama oftálmica del Trigémino y por los nervios ciliares largos llegan al Iris. - La contracción o la dilatación en el Iris, es un reflejo fisiológico para adaptar la visión a la luminosidad del ambiente.
El Iris se divide 2 regiones principales:
1- La Zona Pupilar es la región mas interna que conforma el borde de la pupila ;(desde el borde periférico del collarete)
2- La Zona Ciliar es el resto del iris y se extiende hasta su origen en el cuerpo ciliar
El Collarete que separa la zona pupilar de la ciliar y es la porción mas gruesa del iris, es un vestigio de la cubierta de la pupila embrionaria. La Raiz de iris es la porción mas periférica y la mas delgada, esta unida a la esclera y a la porción anterior del Cuerpo Ciliar. El Iris y el Cuerpo Ciliar componen la Úvea Anterior.
En la cara Anterior esta el pigmento que le da el color al Iris y dependiendo del grado de reabsorción u atrofia de esa capa anterior se pueden observar:
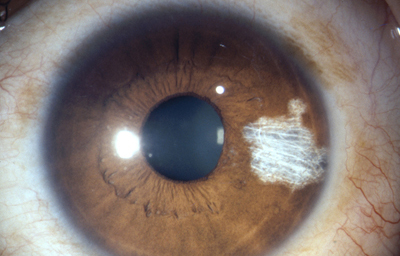
Las Criptas de Fuchs: que son pequeñas aberturas alrededor del collarete, producto de la atrofia o reabsorción de la hoja anterior del iris, que le permiten al estroma y a los tejidos mas profundos estar en contacto con el humor acuoso.
Cuando el Iris no tiene criptas, se considera que la reabsorción u atrofia de la hoja anterior (memb. pupilar) se detuvo en el circulo menor.
En la cara Posterior se ven pliegues radiales muy finos que se extienden desde el margen pupilar hasta el collarete ( miden ± 1.0 mm), y son conocidos como Pliegues radiales de contracción de Schwalbe. Existen ademas los llamados Pliegues estructurales de Schwalbe que son mas gruesos y mas distanciados en la porción ciliar de la cara posterior
Cara posterior de Iris: incluye Iris y Cuerpo Ciliar, Foto tomada de globo ocular de banco de ojos.
La vascularización proviene de las arterias ciliares largas y las ciliares anteriores, que penetran formando una malla radial en el estroma iridiano.
Existe el círculo vascular mayor del Iris situado en la periferia que ya es estroma del cuerpo ciliar, y el círculo menor en el collarete.
Histologicamente son arteriolas, capilares y vénulas con características especiales: no tienen lamina elástica pero si una túnica adventicia que les da el aspecto de un tubo dentro de un tubo, cuya finalidad podría ser protegerlas de acodamientos y posible obstrucción, en el movimiento de dilatación.
Otra característica importante es que los capilares son continuos, no tienen fenestraciones evitando así que macromoléculas sanguíneas plasmáticas, pudieran pasar al estroma iridiano; la cantidad de proteínas derivadas del plasma que están en el humor acuoso es el 1% respecto al encontrado en el plasma en condiciones de normalidad, un mayor porcentaje causaría dispersión de la luz en la cámara anterior y degradaría la calidad de la visión. En la inervación del estroma iridiano hay fibras nerviosas mielinizadas y otras que no lo están. Tiene fibras simpáticas, parasimpáticas y también sustancia P inmuno-reactíva sensorial, que llegan a través de la división oftalmica del V par.1
1 La sustancia P (SP) es un neuropéptido que actua como neurotransmisor y neuromodulador. El receptor endógeno de la SP es la Neurokinina 1 (NK-1 receptor, o NK1R) que pertenece a la Takinina, receptor de la subfamilia de los GPCRs ( G protein-coupled receptors) - SP es considerada como un sistema de defensa y sobrevida inmediato
El Color del Iris
El Iris en general es muy pigmentado con colores que comúnmente van del marrón, avellana, gris, verde y azul. Existen los iris sin pigmento en el Albinismo oculo-cutáneo en cuyo caso se ven blanco/rosados.
El color del Iris es un fenómeno complejo por efectos combinados por la textura, la pigmentación y el tejido fibrovascular del estroma, junto con la constitución epigenética del individuo. Desde el punto de vista óptico, la simple absorción o reflexión selectiva por algunas moléculas, como la hemoglobina o el colágeno del estroma que son componentes no pigmentados, puede tener influencia en el color que es observado.
A pesar de la gran variedad en el color del Iris, el único pigmento que contribuye en forma sustancial es la melanina; su cantidad, es uno de los factores que determina el color del iris en una persona. Estructuralmente el color depende de la cantidad variable de eumelanina (melaninas marron/negra) y pheomelanina (melaninas rojo/amarillo) producidas por los melanocitos derivados de la Cresta Neural. El grado de dispersión de la melanina que yace en racimos subcelulares en los melanosomas, tiene cierta influencia en el color que se observa, pero el grado de dispersión no es reversible ya que los melanosomas no son moviles.
En el recién nacido el Iris es de color gris azulado por falta de migración del pigmento, el color definitivo se muestra alrededor de los 6 meses de edad.
En los humanos el Iris tiene el mismo color en los dos ojos siendo sutilmente diferentes en su desarrollo y paisaje final; pero existen variantes2
La Heterocromia Iridis y la Heterocromia Parcial o Sectorial
Son variantes, en la que un Iris es completamente diferente en color al Iris del otro ojo, o un Iris tiene un sector de diferente color a otro sector; es poco común y frecuentemente se asocia con enfermedades oculares, pero existen en los humanos como variantes normales.
2 La retina humana y de otras especies, solo contiene 3 tipos de receptores llamados L, M y S ( 760 a 380 nm) que responden a long de onda especificas de luz Roja, Verde y Azul, y se las llama especies Tricrómatas. Los colores primarios no son una propiedad de la luz sino un concepto biológico basado en una respuesta fisiológica del ser humano.
